Beacon Dental Sleep Medicine Clinic, Sandyford, Dublin, D18 E7P4 l Tel: +353 1 531 0088

Dental Sleep Medicine Treatment

The management of sleep related breathing disorders

What is Dental Sleep Medicine?

Dental Sleep Medicine is an area of clinical expertise that focuses on the management of sleep-related breathing disorders.

This includes including snoring, noisy disturbed sleep, sleep apnoea, CPAP intolerance, and sleep bruxism (teeth grinding), with the design and fitting of customised oral/dental appliances.

 

What is Oral Appliance Therapy?

Oral appliance therapy is a device system worn in the mouth, during sleep. The device design is scanned, custom made and fits similar to a more precise sports mouth guard or orthodontic retainer, preventing the airway from collapsing. The device supports the tongue or/or jaw in a forward position, thereby opening the airway.

 

The precise device position is assessed on several criteria, including the patient’s anatomy and the extent of their presenting symptoms.

With a custom-fitted oral appliance system, we can help minimise or eliminate the symptoms of Sleep Disordered Breathing, including Sleep Apnoea (in mild to moderate cases) which can include loud snoring, gasping, and unpleasant night-time noises.

The device can also act as an alternative treatment for patients (on medical advice only) who have been prescribed C.P.A.P. by their Medical Consultant.

Failed C.P.A.P is where a patient finds it difficult to adhere to C.P.A.P. , for the ongoing management of their Sleep Apnoea condition can also be well managed with precise mandibular advancement device systems.

How does Beacon Dental Oral Appliance Therapy Work?

Precision Oral appliance systems hold the lower jaw in a precise forward position, dilating the upper airway and preventing it from collapsing, occluding the airway.

This helps to:

  • Eliminate and/or reduce snoring noise levels in a managed patient plan
  • Improve Sleep Quality, through increased overnight oxygenation, and quality sleep, resulting in increased energy levels on wakening and throughout the day
  • With Medical collaboration, device therapy treats Sleep Apnoea disease progression
  • Substantially improves bed partners sleep and quality of life, for both partners

The Beacon Dental Clinic provides the following additional services

  • Referral to and from Consultant led Medical diagnosis of Sleep Disordered Breathing, management of noisy loud snoring and suspected Sleep Apnoea.
  • CBT (Cognitive Behavioural Therapy) referral or Medical referral for Sleep Disorder Breathing diagnostics and management.
  • Referral to a Dietician and/or Weight Management services, if indicated a part of the overall management of Sleep Disordered breathing patient services
  • Dental Health Care education. Routine and/or more advanced Dental Healthcare, if required.

Process of our Oral Appliance Therapy Program

Assessments
If you are referred to the Beacon Dental Sleep Medicine Clinic by a medical consultant, we will then assess your suitability for Oral Appliance Therapy. This will involve a dental examination, an x-ray and a trial oral appliance, if indicated.

If you have not been seen by a doctor, we will refer you to the appropriate medical consultant before further assessment.

Treatment Interventions
In the Treatment phase, you will be fitted with an oral appliance by an experienced restorative dentist with expertise in the field of dental sleep medicine, who will control and monitor your progress and response to treatment. All patients of the Beacon Dental Sleep Medicine Clinic are seen one week and one month following initial appliance delivery. You will also be provided with clear instructions as to the best use and care of your oral appliance.

Follow up appointments
All patients with sleep apnoea diagnosis are referred back at this stage to their medical consultant for evaluation. The oral appliance is re-evaluated at the Beacon Dental Clinic at specified internals to evaluate its mechanical integrity and performance.

Medical Diagnosis and Sleep Studies

It is important that an appropriate medical diagnosis is made by the relevant sleep physician to investigate the significance of snoring or sleep related disorders.

Download Epworth Sleepiness Scale Self-test

Download STOP-BANG Questionnaire

About Dental Sleep Medicine at The Beacon Dental Clinic

As director of the Beacon Dental Group Dr Edward G Owens is a hospital affiliated Prosthodontist. He has been working successfully with oral appliances to treat snoring and obstructive sleep apnoea since 1997.

He collaborates with major hospital sleep disorder clinics and has been active in the management of oral sleep appliances and the development of Dental Sleep Medicine in Ireland.

Dr Ed Owens is one of a very small number of dentists qualified with recognised expertise in assessing and treating patients with Sleep Disordered breathing in Ireland. He is certified by the American Board of Dental Sleep Medicine as having undergone specialist education and qualification to best manage patients with a range of Sleep Disordered Breathing presentations and guide them into their optimal sleep, with the use of an individualised oral device.

Dr Owens works with physicians and surgeons in the recognised leading centres of established expertise in Sleep Medicine in Ireland, including St Vincent’s University Hospital, The Mater University Hospital, Beaumont Hospital, St James Hospital, The Beacon Hospital and the Hermitage Clinic, amongst many other hospitals around the country.

He has been working with a wide range of patients presenting with a range of Sleep Disordered Breathing presentations successfully for over 20 years. Many patients have been successfully treated by oral appliance therapy and enjoyed the benefits of enhanced sleep, which in turn results in a measurable improvement in sleep quality through Sleep Studies and their overall general health.

Good quality sleep is responsible for a variety of measurable patient benefits including mood, enhanced daytime energy, the control and enhancement of cardiac and respiratory health, amongst many other health benefits. All these benefits are measurable and have been shown to increase overall general health in many studies and published papers.

Spousal or sleeping partner disturbance and anxiety is often a factor in someone presenting for assistance in the management of Sleep Disordered Breathing. Patients making respiratory noise at night, snoring and/or appearing to gasp for air on occasion during the night as observed by a partner, is often the trigger to seeking help.

We encourage patient partners to attend as this often helps through a more detailed understanding, to reduce anxiety, which may sometimes be experienced around Sleep Disordered Breathing conditions.

Sleep Bruxism

Sleep Bruxism is a movement disorder characterised by clenching and grinding of the jaws and teeth while sleeping. Typical signs of this condition are exaggerated tooth wear, fractures of teeth and dental restorations, fillings, crowns, bridges etc. Excessive sleep bruxing can also lead to damage to the gum or periodontal tissues, which support the tooth leading to gum recession and looseness or tooth mobility. Typical symptoms can be significant TMJ, or jaw joint discomfort, tooth sensitivity, and headache which may result from persistent sleep bruxing movements.

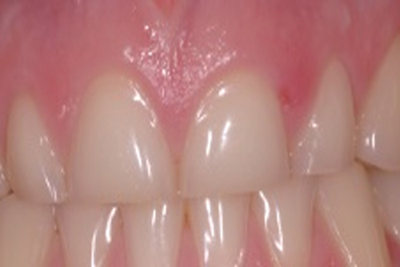
Severe wear resulting from Sleep Bruxism

Reduced Tooth Visibilty Resuting from Severe Wear

Associated risk factors

There are often a number of documented risk factors associated with Sleep Bruxism such as increasing anxiety, psychological stress, obstructive sleep apnoea syndrome, snoring, daytime sleepiness, and increased alcohol and caffeine consumption. Certain prescription drugs including serotonin uptake inhibitors such as Lexapro, Prozac, and Seroxit, along with other associated disorders and medications, including some neurological conditions have been associated with this condition. Sleep Bruxism may also have a hereditary component. Having an accurate diagnosis and treatment prescribed is central to managing Sleep Bruxism and reducing the risk of extensive tooth and joint symptoms.

Self-Test:

​1. Are you aware, or has anyone heard you, grinding your teeth frequently during sleep? Yes / No
2. Are you aware that your teeth are worn down more than they should be? Yes / No
3. Are you aware of the following symptoms on wakening? Yes / No

  • Sensation of fatigue, tightness or soreness of your jaw on awakening?
  • Feeling that your teeth are clenched or that your mouth is sore on awakening?
  • Aching of your temples upon awakening?
  • Difficulty opening your mouth wide upon awakening?
  • Feeling tension in your jaw joint upon awakening and feeling as if you have to move your lower jaw to release it?
  • Hearing or feeling a “click” in your jaw joint upon awakening that disappears afterward.

Positive responses indicate potential sleep bruxing risks.[Modified from the American Academy of Sleep Medicine (2005)]

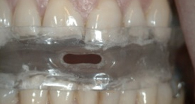
Protective Oral Appliance

Appliance, as worn over upper teeth

What we can do for you

  • Comprehensive Diagnosis and Risk Analysis of the potential for damage to your teeth, existing dental restorations, gums and jaw joint discomfort. Evaluation of actual or expected damage from SB should be considered as part of any management strategy
  • Comprehensive Investigation and diagnosis of causes, effects and potential management approaches to deal with the signs and symptoms posed by excessive Sleep Bruxism.
  • Protective Oral Appliance Provision of several variations of customised protective dental appliances to control the effects of excessive Sleep Bruxism
  • Restorative Dentistry interventions and treatments for teeth or dental restorations damaged by Sleep Bruxing.
  • Prosthodontic Reconstructions and or replacement of significantly worn or damaged or missing teeth resulting from the effects of severe Sleep Bruxism. Complex diagnostics and treatment planning are required to ensure predictable outcomes with a specialist prosthodontist.
  • Bite Adjustment Periodontal (Gum) Considerations Selective Adjustment of teeth and evaluation of damage to the periodontal support for the teeth may form part of any treatment intervention.
  • Facial Pain, Medical and Stress Management Referrals For complex medical treatment requirements, we have an established network of dental and medical specialists with whom we collaborate, to provide optimal care for you. We will orgainise the appropriate referrals to deal with non-dental aspects of Sleep Bruxism as part of an integrated treatment approach.
  • Maintenance Programs to maintain the outcomes of the treatment interventions provided.

To book a consultation with the Beacon Dental Sleep Medicine Clinic, click here

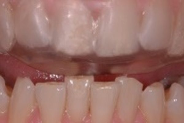
Severe Tooth Erosion and Wear from Sleep Bruxism

Following Treatment with Crowns

 

Beacon Dental Sleep Medicine Clinic is based in the Beacon Dental Clinic, Beacon Consultants Clinic, Dublin, D18 E7P4, Ireland

Tel: +353 1 531 0088 | Fax: +353 1 213 5645 | Email: info@beacondentalsleep.ie

 

 

 

© 2026 | Beacon Dental Sleep Medicine Clinic | All Rights Reserved | Privacy Policy | Sitemap | Website Maintenance by 2Cubed.ie

 

Call Now Button